"Nedavno me je prijatelj pitao za kamenčiće u krajnicima. Ima upale grla nekoliko puta godišnje, koje se odmah povuku nakon grgljanja i uklanjanja tih naslaga. Kada sam mu rekao da mislim da su kamenčići u krajnicima prilično retki, odgovorio je: `Jesi li siguran? Moj ORL lekar kaže da je to česta pojava.`

Ispostavilo se da moj prijatelj i njegov lekar imaju pravo, piše dr Robert Šmerling sa Medicinskog fakulteta Harvard. Kamenčići u krajnicima su iznenađujuće česti i često prilično iritantni. Evo šta treba znati i kako postupiti."

Šta su kamenčići u krajnicima?

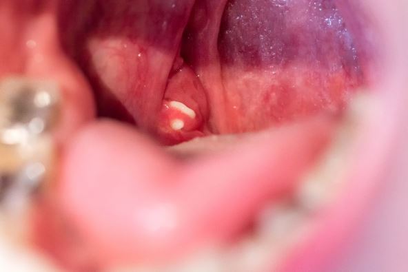
Kamenčići u krajnicima (medicinski naziv: tonziloliti) su male bele ili žućkaste naslage na krajnicima. Nastaju kada se bakterije, pljuvačka, čestice hrane i naslage ćelija iz sluznice usne duplje zarobe u malim udubljenjima zvanim kripte. Njihove karakteristike značajno variraju od osobe do osobe, uključujući:

  • Veličinu. Mogu biti toliko mali da se ne vide golim okom, ali mogu narasti do veličine šljunka, a u retkim slučajevima i znatno veći.
  • Konzistenciju. Obično su mekani, ali mogu da se kalcifikuju i postanu tvrdi kao kamen - otuda naziv.
  • Trajanje. Mogu trajati od nekoliko dana do nekoliko nedelja, a ponekad i znatno duže pre nego što se raspadnu i ispadnu.
  • Učestalost. Novi tonziloliti mogu se pojavljivati više puta mesečno ili samo jednom do dvaput godišnje.

Iako se češće formiraju kod osoba sa lošom oralnom higijenom, ni dobra higijena ne pruža potpunu zaštitu. Čak i kod onih koji redovno peru zube, koriste konac i posećuju stomatologa mogu nastati kamenčiće u krajnicima.

krajnici kamen 2.jpg
Foto: Shutterstock

Koliko su česti kamenčići u krajnicima?

Sigurno ste čuli za bubrežne i žučne kamence, zar ne? Jasno je da su te dijagnoze mnogo poznatije od kamenčića u krajnicima. Ipak, kamenčići u krajnicima su daleko češći: studije sugerišu da ih ima do 40 odsto populacije. Srećom, za razliku od bubrežnih i žučnih kamenaca, kamenčići u krajnicima su obično bezopasni.

Koji su simptomi kamenčića u krajnicima?

Mnogi ljudi nemaju nikakve simptome. Zapravo, ako su kamenčići dovoljno mali, možda ni ne znate da ih imate.
Kada ipak izazivaju tegobe, najčešći simptomi su:

  • Bol u grlu ili osećaj iritacije, kao da je nešto zaglavljeno u grlu
  • Neprijatan zadah
  • Kašalj
  • Nelagodnost pri gutanju
  • Infekcije grla

Ko može da dobije kamenčiće u krajnicima?

Svako ko ima krajnike može da ih dobije. Međutim, neke osobe su sklonije njihovom formiranju, uključujući one koje:

  • Imaju krajnike sa mnogo udubljenja i nepravilnih površina, umesto glatke strukture
  • Puše
  • Konzumiraju velike količine zaslađenih napitaka
  • Imaju lošu oralnu higijenu
  • Imaju porodičnu istoriju pojave kamenčića u krajnicima

Kako se leče kamenčići u krajnicima?

To zavisi od toga da li imate simptome i koliko su izraženi.

  • Ako nemate simptome, kamenčići možda ne zahtevaju nikakav tretman.
  • Ako imate simptome, grgljanje slane vode ili uklanjanje kamenčića pamučnim štapićem ili oralnim tušem obično pomaže.

Izbegavajte uklanjanje oštrim i tvrdim predmetima poput čačkalice ili hemijske olovke, jer tako može da oštetite grlo ili krajnike.

Ako su krajnici upaljeni, otečeni ili inficirani, lekar može prepisati antibiotike ili antiinflamatorne lekove.

Da li je operacija nekada neophodna?

Povremeno, operacija može biti opravdana. Obično se preporučuje osobama sa izraženim simptomima ili čestim infekcijama, kod kojih prethodne mere nisu dale rezultate.

krajnici kamen.jpg
Foto: Shutterstock

Moguće hirurške opcije uključuju:

  • Tonzilektomiju - uklanjanje krajnika
  • Kriptolizu - tretman laserom, električnom strujom ili radio-talasa za izravnavanje dubokih udubljenja u krajnicima u kojima se kamenčići formiraju

Da li se kamenčići u krajnicima mogu sprečiti?

Da, postoje načini da se smanji rizik od ponovne pojave. Stručnjaci preporučuju sledeće:

  • Redovno perite zube i jezik (najmanje dva puta dnevno - ujutru i pred spavanje)
  • Koristite zubni konac
  • Grgljajte slanu vodu nakon obroka
  • Izbegavajte hranu i piće sa puno šećera, jer šećer hrani bakterije koje podstiču formiranje kamenčića
  • Ne pušite, jer pušenje iritira i izaziva upalu krajnika, što može podstaći nastanak kamenčića
  • Isto može važiti i za elektronske cigarete, iako za to još nema dovoljno istraživanja

S obzirom na to koliko su kamenčići u krajnicima česti i koliko mogu biti neprijatni, iznenađuje što nisu poznatiji.

Možda zato što često nestanu sami od sebe, ili ljudi nauče kako da ih uklone bez medicinske pomoći.

Pročitajte i tekst o simptomima karcinoma grla.

BONUS VIDEO: