Uobičajeni simptomi infekcije korona virusom uključuju povišenu temperaturu, kašalj i teškoće pri disanju, piše Lepa&Srećna.

To su obično razlozi zbog kojih osobe, naročito ako su bile u kontaktu sa već potvrđenim pacijentima obolelim od COVID-19, žele da se testiraju i sa strepnjom iščekuju rezultat.

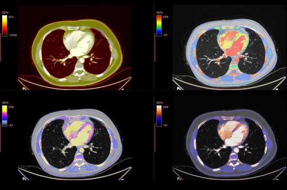
Međutim, kliničari otkrivaju da i - pre nalaza PCR testa - CT snimak može da ukaže na prisustvo korona virusa u organizmu.

"U mnogim slučajevima u kojima nismo uopšte sumnjali na korona virus, on je otkriven slučajno", objašnjava dr Adam Berhanajm iz medicinskog centra Maunt Sinaj u Njujorku.

"Na primer, dolazili su nam pacijenti sa stomačnim tegobama, a bez ikakvih respiratornih simptoma.

Međutim, kad bismo im uradili CT skener  stomaka, uhvatili bismo i donji deopluća a na snimku smo otkrili zamućenja u karakterističnom okruglom obliku i boji mlečnog stakla. kaže dr Bernhajm.

Ova zamagljenja razlikuju se od oštećenja kakve izaziva, recimo, karcinom pluća kao i od posledica zaraze korona virusom sa teškim respiratornim tegobama.

Drugim rečima, ako postoji sumnja na COVID-19 zbog zaraženih kontakata a nema karakterističnih simptoma, CT slika može da pruži važne podatke lekarima.

Sa druge strane, nalaz "mlečnog stakla" na plućima treba da bude i upozorenje za pacijente da treba da budu veoma oprezni čak i ako nemaju druge simptome.

Prvi razlog je taj što su sigurno već infektivni, što znači da mogu da zaraze sve druge.

Drugi razlog je činjenica da "mlečno staklo" na plućima može da ostavi ozbiljne posledice na zdravlje pa je lekarska pomoć neophodna.

Izvor: Lepa&Srećna