Džejk je imao samo nedelju dana kad je preležao virusnu prehladu, a sa šest meseci pokazalo se da teško pomera desnu ruku i da mu je šaka potpuno mlitava. 

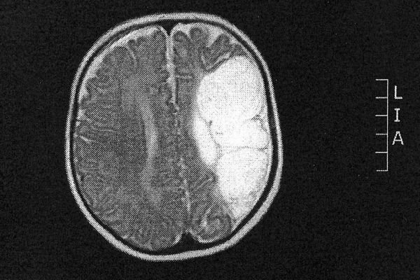
Rentgenski snimci (pogledajte sliku u galeriji) pokazali su da kod bebe, praktično, gotovo polovina mozga nedostaje. Lekarske prognoze bile su krajnje nepovoljne - doktori su upozorili roditelje da mali Džejk nikada neće biti u stanju da govori i hoda.

Međutim, kako piše britanski Miror 17. marta 2014. godine, Džejkova mama Sara je uoči njegovog prvog rođendana primetila kako se dete podiže i uspeva da malo puzi po kući. Godinu dana kasnije načinio je i prve, teturave korake a uskoro izgovorio i prve reči.

"Nama je to bilo neverovatno", kaže Sara. "Ali on je pun energije i potpuno je isti kao sva deca njegovog uzrasta. Pobedio je sve doktorske prognoze. Govor mu nije čist, ali može i da hoda a i da trči. On je naše malo čudo", srećna je mama.

Uprkos najgorim lekarskim prognozama, mali Džejk Gledstoun je progovorio i hoda premda mu funkcioniše samo polovina mozga. Foto: LepaiSrecna